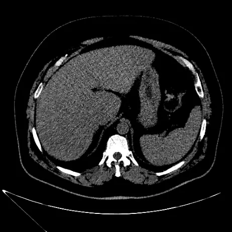
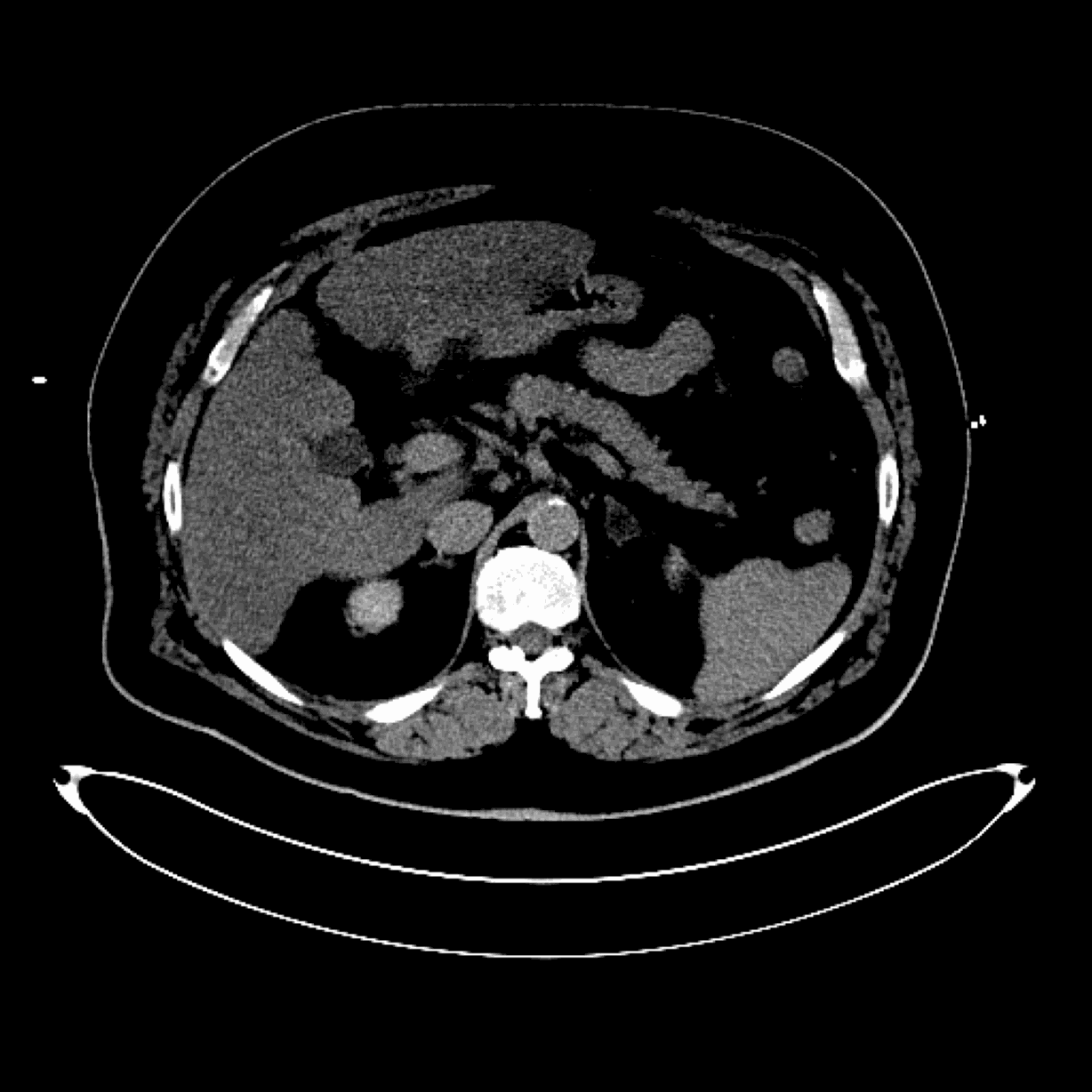
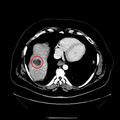
Entraîner des algorithmes de prédiction (HEPTA Medical)

Pre-op

Per-op

Post-op
Entraîner des algorithmes pour la prédiction de la zone d'ablation micro-onde dans le traitement du cancer sur des données cliniques réelles
Objectif : Comparer les prédictions des zones d'ablation aux zones d'ablation réelles telles que visible à l'imagerie.
Apports de Colybri :
✅ Mise à disposition d'une base de données structurée
✅ Sélection des patients correspondants
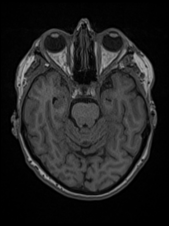
Test de robustesse du logiciel d'IA générative (Société Geodaisics)

IRM T1

FLAIR
Test de robustesse du logiciel d'IA générative BrainGML-AD® (Société Geodaisics)
Objectif : Corréler les données de la ponction lombaire à celle de la morphométrie cérébrale issues de données IRM de patients atteints de la maladie d'Alzheimer par rapport au sujets avec plaintes subjectives et patients atteints d'autres maladies neurodégénératives.
Apports de Colybri :
✅ Mise à disposition d'une base de données structurée
✅ Sélection d'IRM Cérébrales
✅ Sélection de ponctions lombaires
Exemples de segmentation par IA

squelette

système pulmonaire et vaisseaux

système cardiovasculaire

muscles

système digestif
Depuis un scanner - Chaque landmak est indépendant.